牙齒中線沒對齊影響美觀?淺談中線偏移的矯正方式

You are currently viewing 牙齒中線沒對齊影響美觀?淺談中線偏移的矯正方式

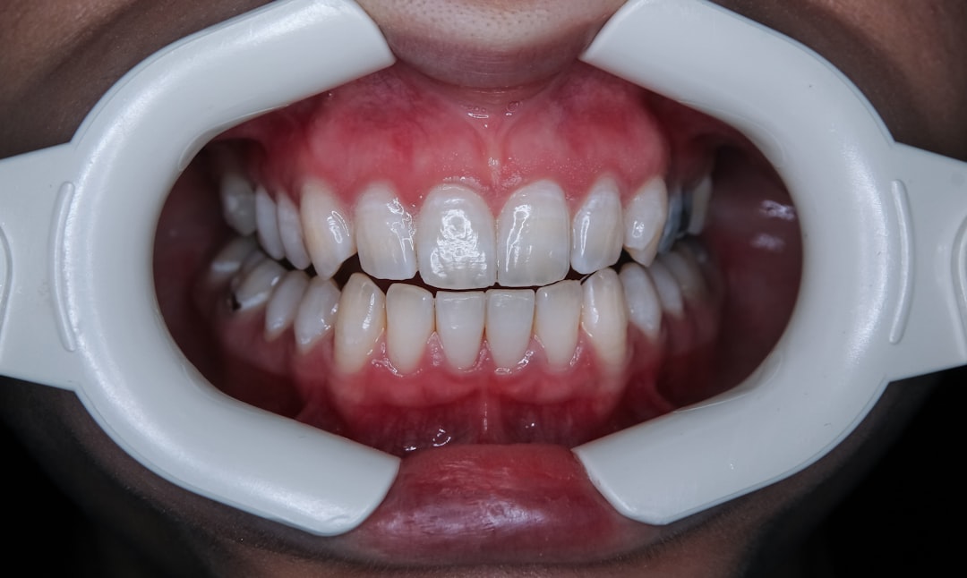
牙齒中線偏移是指上下牙齒的中線未能對齊,通常表現為上前牙的中線與下前牙的中線不一致。這種情況可能會導致咬合不正,影響口腔功能,並且在某些情況下,還可能引發其他牙齒問題。中線偏移的程度可以從輕微到嚴重不等,影響到個人的自信心和社交互動。

在臨床上,牙齒中線偏移的診斷通常需要專業的牙醫進行檢查。牙醫會觀察患者的咬合情況,並使用專業工具來確定中線的偏移程度。了解這一點對於後續的矯正治療至關重要,因為不同程度的偏移可能需要不同的矯正方案。

本篇要點搶先看

  • 牙齒中線偏移會影響面部對稱與美觀。
  • 中線偏移可能由遺傳、咬合不正或牙齒缺失引起。
  • 矯正方法包括牙套矯正與手術矯正兩大類。
  • 選擇適合的矯正器需考慮個人需求與專業建議。
  • 矯正後需注意口腔護理,避免復發與維持效果。

中線偏移對美觀的影響

牙齒中線偏移對個人的外觀有著顯著的影響。當上下牙齒的中線不對齊時,笑容可能顯得不自然,甚至影響到整體面部比例。許多人在社交場合中會因為牙齒的外觀而感到自卑,這可能會影響他們的自信心和人際關係。

此外,中線偏移還可能導致面部不對稱,這在某些情況下會使人看起來年齡更大。隨著時間的推移,這種不對稱可能會變得更加明顯,進一步影響到個人的心理健康。因此,及早識別和矯正牙齒中線偏移是非常重要的,以改善外觀和增強自信。

牙齒中線偏移的可能原因

牙齒中線偏移的原因多種多樣,通常可以歸納為遺傳因素、環境因素和習慣性行為。首先,遺傳因素在牙齒排列中扮演著重要角色。如果家族中有成員曾經有過類似的問題,那麼後代出現中線偏移的機率也會增加。

其次,環境因素如口腔衛生習慣、飲食習慣等也會影響牙齒的排列。例如,長期不良的口腔衛生可能導致牙齒蛀蝕或牙周病,進而影響牙齒的位置。此外,某些習慣性行為,如吮指、咬唇或舌頭推擠牙齒,也可能導致中線偏移。

矯正牙齒中線偏移的方法

矯正牙齒中線偏移的方法有很多種,具體選擇取決於偏移的程度和患者的需求。最常見的方法是使用傳統的金屬矯正器。這種矯正器由金屬托槽和弓絲組成,可以有效地將牙齒逐漸推向正確的位置。

除了傳統矯正器外,還有隱形矯正器等選擇。隱形矯正器由透明塑料製成,不易被察覺,非常適合對外觀有要求的人士。此外,某些情況下,患者可能需要結合其他治療方法,如拔牙或使用擴弓器,以達到最佳效果。

牙齒矯正器的選擇

項目 說明 影響程度 矯正方式 矯正時間
牙齒中線偏移 上下牙齒中線未對齊,造成臉部不對稱 中高 牙套矯正、隱形矯正 6-18個月
美觀影響 笑容不對稱,影響自信心 牙齒排列調整 視個案而定
功能影響 咬合不正,可能導致咀嚼困難 咬合調整、矯正器 6-24個月
矯正方式 傳統金屬牙套、陶瓷牙套、隱形牙套 依患者需求選擇 依方式不同而異
矯正效果 中線對齊,提升臉部對稱與美觀 持續配戴與調整 6-24個月

選擇合適的牙齒矯正器是矯正過程中的一個重要步驟。傳統金屬矯正器雖然有效,但對於某些患者來說,可能會感到不適或影響美觀。因此,許多人選擇隱形矯正器作為替代方案。隱形矯正器不僅外觀上更為美觀,而且佩戴舒適,便於清潔。

然而,在選擇矯正器時,患者應該考慮自身的需求和生活方式。例如,如果患者需要經常參加社交活動或工作場合,隱形矯正器可能是更好的選擇。而對於需要快速見效的人來說,傳統金屬矯正器則可能更為合適。在做出最終決定之前,與專業牙醫進行詳細諮詢是非常必要的。

牙齒矯正手術的選擇

在某些情況下,僅僅依靠矯正器無法解決牙齒中線偏移問題,此時可能需要考慮手術選擇。牙齒矯正手術通常涉及到顎骨的調整,以改善咬合和中線對齊。這類手術通常由口腔外科醫生執行,需要在全身麻醉下進行。

手術後,患者需要一定的恢復時間。在此期間,患者應遵循醫生的指示,以確保手術效果最佳。此外,手術後仍然需要佩戴矯正器,以保持牙齒在新位置上的穩定性。因此,在考慮手術之前,患者應充分了解手術風險和恢復過程。

矯正後的護理與保養

完成牙齒矯正後,護理與保養同樣重要。首先,患者應定期回診,以便專業醫生檢查牙齒的位置和健康狀況。此外,良好的口腔衛生習慣是維持矯正效果的關鍵,包括每天刷牙、使用牙線和漱口水等。

此外,在矯正後的一段時間內,患者可能需要佩戴保持器,以防止牙齒回到原來的位置。保持器通常是透明塑料製成,可以根據患者的需求進行定制。定期檢查保持器的狀況並及時更換,是確保長期效果的重要步驟。

注意事項與建議

在進行牙齒矯正過程中,有幾個注意事項和建議需要遵循。首先,患者應該保持良好的溝通與醫生之間的聯繫,以便及時解決任何問題或疑慮。此外,在飲食方面,應避免過硬或粘性的食物,以免損壞矯正器或影響治療效果。

最後,心理上的準備也非常重要。矯正過程可能需要數月甚至數年,因此患者應保持耐心並積極面對。在這段時間內,可以尋求家人和朋友的支持,以幫助自己度過這一挑戰。透過適當的護理和堅持不懈的努力,每個人都能夠獲得美麗自信的笑容。

診所推廣洽詢

常見問題FAQs

什麼是牙齒中線?

牙齒中線是指上下牙齒正中間的縫隙線,理想情況下,上下牙齒的中線應該對齊,與臉部中線一致。

牙齒中線沒對齊會影響美觀嗎?

是的,牙齒中線偏移會使笑容看起來不對稱,影響整體臉部美觀,尤其在正面拍照或說話時更明顯。

牙齒中線偏移的常見原因有哪些?

常見原因包括牙齒排列不整齊、牙齒缺失、顎骨發育不均衡、咬合問題或習慣性偏咬等。

中線偏移會影響口腔功能嗎?

嚴重的中線偏移可能導致咬合不正,影響咀嚼效率,甚至引發顳顎關節不適或牙齒磨損。

中線偏移可以透過矯正改善嗎?

可以,透過牙齒矯正治療,如傳統牙套、隱形矯正器或其他矯正技術,能有效調整牙齒位置,改善中線偏移。

矯正中線偏移需要多長時間?

時間因人而異,通常需要6個月至2年不等,視偏移程度及個人牙齒狀況而定。

矯正中線偏移是否會痛?

矯正過程中可能會有輕微不適或壓迫感,但通常可透過調整和適應逐漸減輕。

矯正後中線偏移會復發嗎?

若未配合醫師指示使用保持器,牙齒可能會有移動的風險,導致中線偏移復發。

中線偏移矯正費用大約是多少?

費用因地區、診所及矯正方式不同而異,一般從數萬元到數十萬元新台幣不等。

是否所有中線偏移都需要矯正?

不一定,輕微的中線偏移若不影響功能或美觀,醫師可能建議觀察或不必矯正。