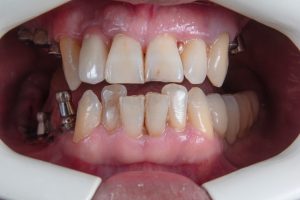
矯正完牙齒又跑位?二次矯正的原因與評估重點

牙齒矯正治療屬於長期且複雜的醫療程序,然而矯正完成後牙齒出現位移現象十分常見。此現象的成因涉及多重因素。牙齒移動並非永久性改變,矯正後的牙齒持續受到周圍牙周組織、肌肉及韌帶的生理性影響,導致牙齒具有回復至原始位置的傾向。患者年齡、遺傳基因表...

Continue Reading矯正完牙齒又跑位?二次矯正的原因與評估重點

矯正完牙齒又跑位?二次矯正的原因與評估重點

牙齒矯正是一個需時且複雜的過程,許多患者在完成矯正治療後,可能會發現牙齒出現移位現象。此情況的成因多元,主要是因為牙齒移動後需要一段時間才能穩定。當矯正裝置移除後,牙齒可能因缺乏支持而逐漸回復至原來位置。這種被稱為「反彈」的現象,是矯正後常...

Continue Reading矯正完牙齒又跑位?二次矯正的原因與評估重點

戽斗(反道咬)不開刀能矯正嗎?黃金治療期是什麼時候?

戽斗,亦稱為反道咬,是一種常見的牙齒排列問題,主要表現為上顎牙齒位於下顎牙齒的內側,導致咬合不正。這種情況不僅影響外觀,還可能對口腔健康造成潛在的威脅。戽斗的成因多樣,包括遺傳因素、早期乳牙脫落不當、或是習慣性口腔行為如吮指等。這些因素可能...

Continue Reading戽斗(反道咬)不開刀能矯正嗎?黃金治療期是什麼時候?

前牙咬不到東西?「開咬」的成因與矯正治療案例

前牙咬不到東西的情況,通常被稱為開咬,這是一種常見的牙齒排列問題。患者在進食時,可能會發現前牙無法有效地接觸到食物,導致咀嚼困難。這種情況不僅影響飲食的舒適度,還可能造成營養攝取不足,進而影響整體健康。此外,開咬還可能導致發音問題,因為前牙...

Continue Reading前牙咬不到東西?「開咬」的成因與矯正治療案例

看牙醫要等很久?教你使用線上預約系統節省排隊時間

在當今數位化的時代,線上預約系統已成為各行各業不可或缺的一部分,尤其是在醫療領域。對於牙醫診所而言,這種系統不僅能提高工作效率,還能改善病患的就診體驗。傳統的電話預約方式常常導致排隊等候時間過長,或是因為溝通不清而產生誤會,進而影響病患的滿...

Continue Reading看牙醫要等很久?教你使用線上預約系統節省排隊時間

咬合過深臉變短?深咬矯正如何改善臉型與咀嚼

深咬合為一種牙齒咬合異常,其特徵為上顎前牙過度覆蓋下顎前牙,垂直覆蓋距離超過正常範圍。此症狀之成因包括遺傳因素、牙齒萌發異常、骨骼發育不協調,以及長期不良口腔習慣等。深咬合患者於進食過程中可能出現咀嚼困難,並對口腔健康造成負面影響。該病症除...

Continue Reading咬合過深臉變短?深咬矯正如何改善臉型與咀嚼

【辦公室出租】辦公室出租流程完整指南:從刊登到交屋的每一步

在辦公室出租之前,首先需要進行充分的準備工作,以確保整個過程的順利進行。首先,業主應該對辦公室的現狀進行全面的評估,包括空間的面積、位置、周邊環境以及交通便利性等。這些因素不僅影響租金的定價,也會影響潛在租戶的選擇。例如,位於商業中心或交通...

Continue Reading【辦公室出租】辦公室出租流程完整指南:從刊登到交屋的每一步

【聯合辦公室】聯合辦公室會員制比較:月租、日租與專屬辦公桌差異

月租聯合辦公室的會員制,通常是針對長期需要辦公空間的企業或個人所設計。這種模式的最大特色在於其穩定性與可預測性,會員可以在每月固定的費用下,享受到全方位的辦公設施與服務。這些設施包括高速網路、會議室、休息區以及共享的打印設備等,讓使用者能夠...

Continue Reading【聯合辦公室】聯合辦公室會員制比較:月租、日租與專屬辦公桌差異

【租會議室】租會議室實務流程:預訂、付款與現場管理建議

在選擇會議室時,首先需要考慮的是會議的性質和參加人數。不同類型的會議,如商務會議、培訓課程或是產品發布會,對會議室的需求各不相同。例如,若是舉辦一場需要互動的培訓課程,則需要選擇一個具有圓桌配置的會議室,以便參與者之間能夠進行有效的交流。而...

Continue Reading【租會議室】租會議室實務流程:預訂、付款與現場管理建議

【會議室租金】會議室租金談判技巧:如何爭取優惠時段與附加服務

在會議室租金的談判過程中,首先要了解市場行情。透過調查不同地區、不同類型會議室的租金標準,可以幫助你在談判時有更強的底氣。例如,某些熱門地段的會議室租金可能會高於其他地區,但如果你能夠提供具體的市場數據,便能更有效地與業主進行討論。此外,了...

Continue Reading【會議室租金】會議室租金談判技巧:如何爭取優惠時段與附加服務